Wann Bekommt Man Gummis Für Die Zahnspange

Na, hallo du strahlende/r Zahnspangenträger/in! Oder vielleicht bald einer/eine? Egal, wie's aussieht, wir reden heute über was richtig Aufregendes: Gummis für die Zahnspange! Ja, du hast richtig gelesen. Gummis. Nicht die, an die du vielleicht denkst (pssst!), sondern die kleinen, aber mächtigen Helfer, die deine Zähne auf den richtigen Weg bringen. Klingt erstmal unspektakulär? Warte ab!
Wann genau aber bekommst du diese Gummis nun? Tja, das ist so eine Sache. Es ist nämlich super individuell. Denk dran, jeder Mund ist ein Unikat, wie ein Fingerabdruck. Dein Kieferorthopäde/deine Kieferorthopädin wird dich gründlich untersuchen und dann einen Plan erstellen, der genau auf deine Bedürfnisse zugeschnitten ist.
Grob gesagt, kommen die Gummis meistens nicht direkt am Anfang zum Einsatz. Erst muss die Spange mal sitzen, die Zähne sich ein bisschen an die neue Situation gewöhnen und die Drähte ihre Arbeit tun. Stell dir vor, du pflanzt einen Baum. Du gießt ihn ja auch nicht direkt mit Dünger, oder? Erst muss er Wurzeln schlagen. So ähnlich ist das hier auch.
Aber wann dann? Meistens, wenn die Zähne schon etwas gerader sind und es darum geht, den Biss zu korrigieren. Also, wenn Ober- und Unterkiefer nicht ganz optimal aufeinanderpassen. Da kommen die Gummis ins Spiel! Sie ziehen dann sanft, aber bestimmt, die Zähne in die richtige Position. Quasi wie ein kleines, zahnärztliches Seilspringen für deinen Kiefer. Stell dir vor, du bist der Regisseur eines Hollywood-Films und die Gummis sind deine Spezialeffekte! *Hust* Vielleicht etwas übertrieben, aber du verstehst, was ich meine.
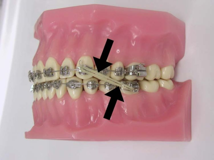
Die Gummis sind da – was nun?
Dein Kieferorthopäde/deine Kieferorthopädin wird dir genau zeigen, wo die Gummis eingehängt werden müssen. Und das ist wichtig, denn sonst funktioniert das Ganze nicht. Meistens werden sie an kleinen Haken an der Spange befestigt. Das Einhängen selbst ist am Anfang vielleicht etwas fummelig, aber keine Panik! Du wirst schnell zum Profi. Denk dran, Übung macht den Meister! Und hey, vielleicht kannst du ja einen Wettbewerb mit deinen Freunden starten, wer es am schnellsten kann! (Natürlich nur, wenn sie auch eine Spange haben... sonst wäre es unfair.)
Und das Wichtigste: Trage die Gummis genau so, wie es dir gesagt wurde. Sonst dauert die Behandlung länger und das will ja keiner, oder? Stell dir vor, du baust ein Haus. Wenn du eine Etage vergisst, ist das ganze Haus instabil. Genauso ist es mit den Gummis.
Ja, am Anfang ziept es vielleicht ein bisschen. Das ist ganz normal. Deine Zähne werden ja schließlich bewegt! Aber keine Sorge, der Schmerz lässt schnell nach. Du kannst auch Schmerzmittel nehmen, wenn es gar nicht geht. Frag aber vorher deinen Arzt oder Apotheker.
Die Qual der Wahl: Welche Gummis gibt es denn so?
Gummis sind nicht gleich Gummis! Es gibt sie in verschiedenen Stärken und Größen. Dein Kieferorthopäde/deine Kieferorthopädin wird dir die richtigen für dich aussuchen. Und manchmal, wenn du Glück hast, gibt es sie sogar in verschiedenen Farben! Dann kannst du deine Spange farblich auf dein Outfit abstimmen! Ist das nicht cool?
Und ja, du musst die Gummis regelmäßig wechseln. Das liegt daran, dass sie mit der Zeit ihre Spannung verlieren. Aber hey, das ist doch eine gute Gelegenheit, mal wieder neue Farben auszuprobieren!
Apropos Farben: Frag deinen Kieferorthopäden/deine Kieferorthopädin, ob es vielleicht sogar Gummis mit Glitzer gibt! Stell dir vor, du lächelst und deine Spange funkelt! Das ist doch mal ein echter Hingucker!
Und noch ein kleiner Tipp: Hab immer ein paar Ersatzgummis dabei! Manchmal reißt einer oder geht verloren. Und dann stehst du da und kannst ihn nicht sofort ersetzen. Also, lieber vorsorgen!
Gummis und der Spaß am Leben
Klar, eine Zahnspange ist erstmal ungewohnt. Und die Gummis vielleicht auch. Aber sieh es positiv! Du bist auf dem Weg zu einem perfekten Lächeln. Und das ist doch was Tolles! Und hey, denk dran, du bist nicht allein! Viele andere haben auch eine Zahnspange. Und vielleicht kannst du ja sogar neue Freunde finden, die das gleiche durchmachen wie du.
Also, Kopf hoch! Zieh deine Gummis an, lächle und zeig der Welt, was du drauf hast! Und wer weiß, vielleicht wirst du ja sogar zum Trendsetter mit deiner bunten Zahnspange!
Die Reise zu deinem perfekten Lächeln ist ein Abenteuer! Und die Gummis sind nur ein kleiner Teil davon. Aber ein wichtiger Teil. Also, sei mutig, sei kreativ und hab Spaß dabei! Und vergiss nicht: Dein Lächeln ist einzigartig! Und es wird noch strahlender werden!
Neugierig geworden und willst noch mehr über Zahnspangen und Gummis erfahren? Sprich mit deinem Kieferorthopäden/deiner Kieferorthopädin! Sie/Er kann dir alle deine Fragen beantworten und dich optimal beraten. Und denk dran: Dein Lächeln ist es wert!



