Wie Bekommt Man Eine Zahnlücke Weg Ohne Zahnspange

Na, hast du da auch so eine kleine Lücke zwischen den Zähnen, die dich manchmal anlacht, wenn du in den Spiegel schaust? Keine Sorge, du bist nicht allein! Zahnlücken sind wie Sommersprossen – manche finden sie total süß, andere hätten sie lieber nicht. Aber was, wenn du zur zweiten Gruppe gehörst und keine Lust auf eine jahrelange Zahnspangen-Odyssee hast? Gibt's da Alternativen? Aber hallo, die gibt es!
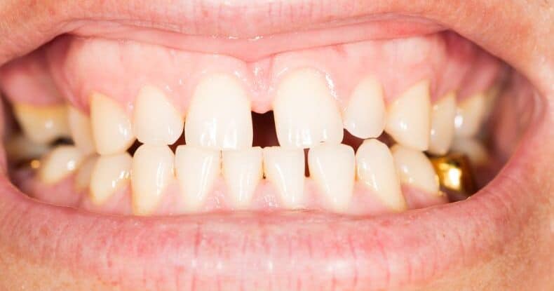
Warum überhaupt was gegen die Lücke tun?
Klar, Schönheit liegt im Auge des Betrachters. Aber eine Zahnlücke kann mehr sein als nur ein optischer Makel. Stell dir vor, du knabberst genüsslich einen Apfel und plötzlich bleibt ein Stückchen genau DORT hängen. Oder beim Sprechen pfeift es leicht. Nicht ideal, oder?
Und mal ganz ehrlich: Ein strahlendes Lächeln, das Selbstvertrauen ausstrahlt, öffnet Türen. Wer sich wohlfühlt, lacht mehr und ist einfach anziehender. Deswegen lohnt es sich, über die Möglichkeiten nachzudenken, die es gibt, um deine Zähne so richtig zum Strahlen zu bringen – ganz ohne monatelange Schmerzen von einer Zahnspange!
Die unsichtbaren Helden: Veneers
Veneers sind wie kleine, hauchdünne Keramikschalen, die auf deine Zähne geklebt werden. Stell sie dir vor wie maßgeschneiderte Kontaktlinsen für deine Zähne. Sie kaschieren nicht nur die Lücke, sondern können auch die Farbe und Form deiner Zähne verbessern.
Der Vorteil? Das Ganze geht relativ schnell und ist schmerzfrei. Innerhalb von wenigen Sitzungen beim Zahnarzt kannst du ein komplett neues Lächeln bekommen. Allerdings sind Veneers nicht für jeden geeignet. Dein Zahnarzt wird dich beraten, ob sie für dich die richtige Wahl sind.
Füllungen: Die schnelle Lösung
Kleine Lücken lassen sich manchmal auch mit Füllungen schließen. Der Zahnarzt modelliert dabei einfach eine Füllung so, dass sie die Lücke ausfüllt. Das ist eine schnelle und kostengünstige Option, die vor allem bei kleineren Lücken gut funktioniert.
Allerdings sind Füllungen nicht ganz so langlebig wie Veneers und können sich mit der Zeit verfärben. Auch hier gilt: Sprich mit deinem Zahnarzt, um herauszufinden, ob diese Option für dich in Frage kommt.
Komposit: Der Allrounder
Komposit ist ein zahnfarbenes Material, das oft für Füllungen verwendet wird, aber auch zur Korrektur kleinerer Zahnfehlstellungen und zum Schließen von Lücken geeignet ist. Der Zahnarzt trägt das Komposit in Schichten auf und modelliert es so, dass die Lücke verschwindet.
Der Vorteil von Komposit: Es ist relativ preiswert und kann direkt im Mund des Patienten verarbeitet werden. Allerdings ist es nicht ganz so robust wie Veneers und kann sich ebenfalls verfärben. Eine professionelle Zahnreinigung hilft aber, die Farbe lange zu erhalten.
Die Mini-Zahnspange: Für kleine Korrekturen
Okay, ich hab’s versprochen: keine jahrelange Zahnspangen-Tortur. Aber es gibt auch Mini-Zahnspangen, die nur einen kleinen Teil des Gebisses korrigieren. Sie werden oft eingesetzt, um vorne die Zähne in die richtige Position zu bringen und somit die Lücke zu schließen.
Diese Art der Zahnspange ist oft deutlich kürzer im Einsatz als eine herkömmliche Zahnspange und kann eine gute Option sein, wenn die Lücke durch eine leichte Fehlstellung der Zähne verursacht wird. Sprich mit deinem Kieferorthopäden, um herauszufinden, ob das etwas für dich wäre.
Was du selbst tun kannst
Egal für welche Methode du dich entscheidest, eine gute Mundhygiene ist das A und O. Regelmäßiges Zähneputzen, Zahnseide und Mundspülungen helfen, deine Zähne gesund zu halten und das Ergebnis so lange wie möglich zu bewahren.
Außerdem solltest du regelmäßig zur professionellen Zahnreinigung gehen. Dabei werden Beläge entfernt, die du selbst nicht erreichen kannst, und deine Zähne werden poliert. Das sorgt nicht nur für ein strahlendes Lächeln, sondern beugt auch Karies und anderen Zahnerkrankungen vor.
Fazit: Dein Lächeln, deine Entscheidung
Eine Zahnlücke muss kein Dauerzustand sein. Es gibt viele Möglichkeiten, sie zu schließen, ohne gleich eine jahrelange Zahnspangen-Behandlung in Kauf nehmen zu müssen. Sprich mit deinem Zahnarzt über deine Wünsche und lass dich beraten, welche Option für dich die beste ist. Denn am Ende zählt nur eins: dass du dich mit deinem Lächeln wohlfühlst und es mit Freude zeigen kannst! Also, auf zum strahlenden Lächeln – ganz ohne Zahnspangen-Stress!



